查看: 81|回复: 0

[健康科普] 发热仅1天,肺全白了!医生:极度危险,千万别当普通感冒

[复制链接]

101

主题

0

回帖

180

积分

初级会员

积分
180
发表于 2025-12-22 10:09:14 | 显示全部楼层 |阅读模式
孩子感冒咳嗽看似常见


可12岁女孩笑笑(化名)的经历


却让人感到后怕——


仅发热1天,左肺就变成了 “白肺”


呼吸急促到无法平躺


血氧饱和度勉强维持在90%左右


情况十分危急!





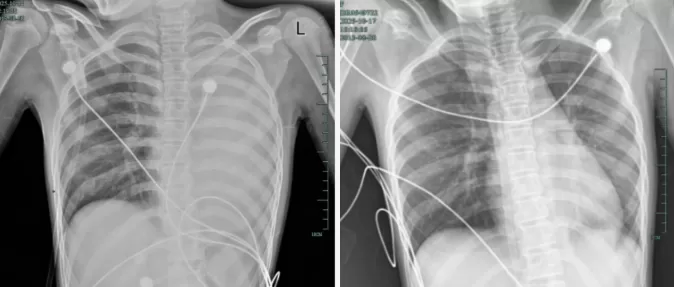
d1.webp
治疗前后影响对比,左肺从“白肺”到正常状态。





什么病?如此来势汹汹?


危险藏在黏液里





据介绍,笑笑一开始只是轻微咳嗽,发热到38℃,检查提示肺炎、肺不张,转诊到浙大四院儿科时,病情已经急剧恶化。





呼吸急促、胸闷胸痛,体温38.5℃,只能靠5L/min的面罩吸氧维持血氧,胸片显示左肺已完全呈 “白肺” 改变,肺部炎症进展迅猛。





儿科虞琳副主任医师判断,笑笑极有可能是患上了“塑型性支气管炎”。



这是一种肺部感染的严重肺内并发症,由不同原因引发的支气管内生性异物阻塞疾病,会导致支气管阻塞、通气和气体交换功能障碍,主要症状为呼吸困难、喘息、胸痛及发热,严重时会引发危及生命的呼吸循环衰竭。





d2.webp





医生介绍,塑型性支气管炎是儿童期凶险的呼吸道急症,常见于2~12岁儿童,多由流感病毒、肺炎支原体、腺病毒等病毒或细菌感染引发。起病隐匿、进展快,容易误诊漏诊,若不及时治疗,可能遗留闭塞性细支气管炎、支气管扩张症等后遗症,严重时直接危及生命。



“这种病的凶险之处在于,气道会被大量胶冻状的黏液栓和支气管塑型堵塞,就像呼吸通道被‘水泥’ 封住,氧气进不去、二氧化碳出不来,随时可能窒息。”





接下来的支气管镜手术也印证了这一点。孩子的气道黏膜充血水肿,大量黄白色黏痰不断涌出,左主支气管及各肺段开口已被黏液栓完全堵住。



d3.webp
从左至右分别为三次支气管镜取出的塑型,第3次塑型明显减少,灌洗液也比之前清亮。





由于治疗及时精准,目前笑笑已顺利出院,没有留下严重的并发症。





后续检查发现,引发她此次感染的是毒力极强的铜绿假单胞菌,多发生在免疫功能低下人群。





医生提醒:孩子出现这些症状


千万别拖延,尽快就诊!





孩子感冒咳嗽后出现持续发热、喘息加重、呼吸急促、胸闷胸痛、胸片或CT提示“肺不张” “肺实变”,尤其是症状在短时间内快速恶化时,一定要立即就医,切勿当作普通感冒拖延。






来源:辽沈晚报综合都市快报(记者:俞茜茜,通讯员:谢蕊)、浙大四院
免责声明:本文由网友发表或转载,不代表宜宾泡菜坛的观点和立场,不对其真实合法性负责.如有异议或侵权,请与本网站联系删除!
回复

使用道具 举报

您需要登录后才可以回帖 登录 | 立即注册

本版积分规则

QQ|手机版|小黑屋|宜宾泡菜坛 ( 蜀ICP备12031032号-6 )|网站地图川公网安备 51030002000201号

GMT+8, 2026-3-13 21:59 , Processed in 0.043086 second(s), 4 queries , Redis On.

Powered by Discuz! X3.5

© 2016-2021 Comsenz Inc.

快速回复 返回顶部 返回列表