查看: 85|回复: 0

[健康科普] 4岁女童持续发烧!不到24小时肺都白了,有这些症状立即就医

[复制链接]

28

主题

0

回帖

181

积分

初级会员

积分
181
发表于 2025-12-22 10:06:02 | 显示全部楼层 |阅读模式
4岁女童甲流合并细菌感染

病情发展极快



今天的热搜话题

#4岁女童甲流合并细菌感染肺都白了#,

让不少家长揪心



d1.png

孩子持续高烧,哭喊肚子疼,家长以为是普通感冒。没想到24小时内病情急转直下,“白肺”住进监护室。
近日,河南4岁女童朵朵的经历让母亲欲哭无泪。孩子突发高烧至38.7℃,并伴随腹痛,情况迅速恶化,第二天晚上已经出现呼吸急促的症状。


检查结果令人揪心:甲型流感病毒(H3N2)、金黄色葡萄球菌、流感嗜血杆菌,形成“病毒牵头、细菌跟攻”的“三重打击”,引发严重肺部感染,发展为急性呼吸窘迫综合征(ARDS),生命悬于一线。
d2.png d3.png
视频截图



当地医院医疗团队几乎使用了所有常规治疗手段:有创呼吸机、高频振荡通气、一氧化氮吸入……然而,即使在极高的呼吸机参数支持下,朵朵的血氧饱和度仍仅能维持在80%-85%,呼吸衰竭难以纠正。
在常规治疗无效、命悬一线之际,河南省儿童医院ECMO团队携“人工肺”紧急跨市驰援,成功建立生命通道,完成了一场与时间赛跑的生死救援。上机一周后,经全面评估各项指标,朵朵顺利撤离ECMO,转入后续康复治疗阶段。
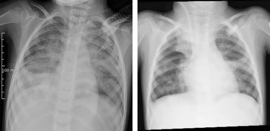
d4.png
图源?河南省儿童医院(左图为ECMO上机前,肺部结构模糊,呈现“白肺”影像表现。右图为ECMO支持治疗5天后,肺部影像清晰度明显改善)



网友热议


很多网友在评论区分享了孩子感染甲流后发烧、咳嗽的经历。
d5.png d6.png

有人提醒身体不舒服一定要尽快去医院。


d7.png

有网友还建议打流感疫苗,即使感染,症状也会轻一点。
d8.png

有网友发帖记录了感染甲流后高烧用药的身体变化,感叹道“为什么有甲流这种东西,药吃了没有用,物理降温也没有用,一直烧…..”


d9.jpeg

流感会导致“白肺”吗

如何识别流感重症信号?


“白肺”通常提示肺部病变较重,可能与重症肺炎、急性呼吸窘迫综合征(ARDS)等疾病相关。
大多数儿童感染流感病毒后表现为发热、咳嗽、咽痛、肌肉酸痛等症状,通常在一周内自愈。少数患儿可能发展为肺炎,甚至出现“白肺”



此外,流感病毒感染会削弱呼吸道的防御能力,容易继发细菌感染,如肺炎链球菌、金黄色葡萄球菌、肺炎支原体等,这些细菌或支原体感染可能导致或加重肺炎,严重时会出现“白肺”。


虽然大多数儿童流感症状较轻,但家长仍需警惕重症信号,及时就医:


    持续高热不退,体温超过39℃,且退烧药效果不佳;

    呼吸困难,呼吸频率加快,或出现喘息、胸痛,鼻翼扇动、三凹征阳性;

    精神萎靡,嗜睡或烦躁不安,反应迟钝、意识障碍、惊厥;

    食欲明显下降,尿量减少,甚至出现脱水症状;

    皮肤苍白或青紫,提示可能存在缺氧。




哪些儿童是流感重症高危人群?

如何预防流感发展为“白肺”?


儿童免疫系统尚未完全发育,呼吸道结构也较为脆弱,因此比成年人更容易出现并发症。但总体而言,流感发展为“白肺”的概率并不高,家长不必过度恐慌。



但以下三类群体属于流感重症高危人群,家长需提高警惕。



1、年龄小于5岁,尤其是小于2岁的婴幼儿:免疫系统发育不完善,更容易发生重症感染。



2、患有慢性基础疾病:如哮喘、先天性心脏病、慢性肺部疾病、神经系统疾病、免疫缺陷病等;


3、未及时接种流感疫苗的儿童:流感疫苗可以有效预防流感病毒感染,降低重症风险。


专家提醒:当前正值流感高发季节,需高度警惕“病毒+细菌”混合感染风险。

    及时接种流感疫苗,有效降低感染风险及重症发生概率。


    流感流行期间,尽量减少前往人群密集场所,做好个人防护。


    确诊流感后应遵医嘱规范治疗,警惕继发细菌感染。

上海疾控回应K型病毒

上海流感疫情

可能在12月中下旬达峰



近日,一种名为“K型”的新型流感又在网络引发关注,上海疾控最新发文释疑:



流感病毒每年都会发生一些细微的变化,科学家为了追踪这些微小的变化,会像绘制“家族树”一样,给甲流病毒划分出更细的分支。“K亚分支”就是这样一个分支代号。它不是一种新流感病毒,仍属于甲型H3N2流感病毒。



目前上海已进入流感流行季,但未超过近三年最高水平,根据最新监测情况,近期上海流感病例报告数呈快速上升趋势。模型预测全市疫情可能在12月中下旬达峰。峰值时间整体较往年冬春流行季的典型峰值时间(通常集中在12月下旬至3月间)有所前移,提示今冬流感季节性活动启动较早。


目前本市流感病原学监测结果显示,甲型H3N2亚型流感病毒占绝对流行优势,占比超过95%。


流感病毒传播迅速,易在学校、幼托机构等人群密集场所发生聚集性疫情,近期发生在上述单位的流感聚集性疫情数量也较前一阶段有明显上升。



上海疾控提醒牢记4个预防要点 d10.png d11.png d12.png
d13.gif 来源| 上海疾控、19楼、小莉帮忙、河南省儿童医院、清华大学北京清华长庚医院、新闻坊
免责声明:本文由网友发表或转载,不代表宜宾泡菜坛的观点和立场,不对其真实合法性负责.如有异议或侵权,请与本网站联系删除!
回复

使用道具 举报

您需要登录后才可以回帖 登录 | 立即注册

本版积分规则

QQ|手机版|小黑屋|宜宾泡菜坛 ( 蜀ICP备12031032号-6 )|网站地图川公网安备 51030002000201号

GMT+8, 2026-3-13 20:24 , Processed in 0.053526 second(s), 6 queries , Redis On.

Powered by Discuz! X3.5

© 2016-2021 Comsenz Inc.

快速回复 返回顶部 返回列表