查看: 136|回复: 0

[宜宾城事] 太恐怖!宜宾一男子骑车险些被卷车底!疑又跟它有关!

[复制链接]

116

主题

0

回帖

208

积分

中级会员

积分
208
发表于 2025-12-4 19:23:10 | 显示全部楼层 |阅读模式
“想起之前的遭遇,我真的是在“鬼门关”里走了一遭,以后骑车都有阴影了”王某(化名)在病房里说道,是怎么回事呢?



原来,王某是在上班途中骑车的时候出了车祸,当时一辆大货车正在右转,恰好王某就在货车司机的“视线盲区”,被货车撞倒在地后,王某左腿顿时血流如注,忍着疼痛,瞬间起身离开,这才化险为夷。除左腿外,王某身体其他部位也有不同程度的受伤。

d1.gif

在江安县某医院紧急包扎止血后,考虑到男子脚上多处骨折,又大量出血,病情复杂,随即将王某送往宜宾民心创伤骨科医院治疗。

d2.webp

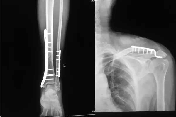
DR检查,被诊断为“左腓骨中下段粉碎性骨折、左内踝骨折、左外踝骨折、左锁骨远端粉碎性骨折”

d3.webp

入院不久后,在宜宾民心创伤骨科医院骨科主任的带领下,医疗团队先后为王某成功实施了“左腓骨、左内踝切开复位内固定术+左锁骨切开复位内固定术”

d4.gif

术后一个月,王某已经能丢拐下地行走,目前,王某的伤已经痊愈,近日就可以安然出院了。


科普:大货车的盲区在哪里?

d5.webp

d6.webp

你骑车有这个习惯吗?

A:有

B:没有
免责声明:本文由网友发表或转载,不代表宜宾泡菜坛的观点和立场,不对其真实合法性负责.如有异议或侵权,请与本网站联系删除!
回复

使用道具 举报

您需要登录后才可以回帖 登录 | 立即注册

本版积分规则

QQ|手机版|小黑屋|宜宾泡菜坛 ( 蜀ICP备12031032号-6 )|网站地图川公网安备 51030002000201号

GMT+8, 2026-4-18 06:30 , Processed in 0.062351 second(s), 11 queries , Redis On.

Powered by Discuz! X3.5

© 2016-2021 Comsenz Inc.

快速回复 返回顶部 返回列表